-
Design your line
당신의 미소를
디자인하는
라인드교정치과 -
LINE_D orthodontic clinic
환자를 위해
최선을 고민하고,
원칙과 신뢰를 지킵니다 -
LINE_D Orthodontic Clinic
치료 시작부터 마무리,
그 이후까지
세심하게 책임집니다

정교한 라인을 디자인하듯,
진심을 다해 진료하는
라인드치과 대표원장
박기욱입니다.
치과교정과 전문의로 13년 넘게 진료해오며
한 가지 원칙을 늘
마음에 두고 있습니다.
‘지금 마주한 분이 내 가족이라면 어떻게 치료할까’
가장 소중한 사람을 대하듯, 정직하고 성심껏
진료해왔습니다.
‘라인드(LINE_D)’는 두 가지 의미를 담고 있습니다.
하나는 조화로운 치열이 만드는 심미적인 변화,
또 하나는
진료의 처음부터 끝까지
환자의 신뢰와 만족이 이어지는 경험을 디자인하겠다는
뜻입니다.
반드시 필요한 진료만을 진행하는 소신,
더 나은 치료를 위해 끊임없이 연구하는 전심으로
진료에
임하겠습니다.
빠름보다 바름을, 형식보다 진심을 담아
처음부터 끝까지 함께하겠습니다.
라인드치과 대표원장 | 박 기 욱

- 박기욱
- 대표원장

보건복지부 인증 치과교정과 전문의

보건복지부 인증 통합치의학과 전문의
- 대한치과교정학회 인정의 및 정회원
- 대한치과교정학회 모범전문의
- 대한설측교정학회 회원
- 미국치과교정학회(AAO) 정회원
- 세계교정연맹(WFO) 정회원
- 미국 인비절라인(Invisalign) 인증의
- 前 단국대학교 치과병원 교정과 임상교수
- 前 안양정성치과 교정과 원장
- 前 강남루센트치과 수석원장
- 現 라인드치과 대표원장
- 단국대학교 치과병원 외래교수
- 서울대학교 치의학대학원 임상치의학과정(임플란트) 수료
- 단국대학교 치과대학병원 인턴 수료
- 단국대학교 치과대학병원 교정과 레지던트 수료
- 단국대학교 대학원 치과교정학 석사

라인드가 특별한 5가지 이유

치과교정과+통합치의학과
더블보드
치과교정과+통합치의학과 전문의 대표원장의
책임진료 시스템
-
처음 상담부터 계획 수립, 치료, 유지관리까지
교정의 전 과정을 직접 책임지고 진료합니다. -
더블보드 전문의인 대표원장이 충치, 잇몸, 보철까지
통합 진료를 제공합니다. -
치료 후 지속적인 관리까지 평생 구강 건강을 책임지는
당신의 주치의가 되어드립니다.

끊임없이 연구하는
교수출신 의료진
다년간 대학병원에서 임상교수로 재직하며 진료와 연구를
병행해 온 대표원장은,
현재도 대학병원 외래교수로서
지속적으로 진료와
학술활동을 이어가고 있습니다.
라인드치과의 의료기술은 매일 발전하고 있습니다.

통증저감마취
마취가 두려운 분들을 위해 도포마취와 통증저감마취기를
사용합니다.
도포마취를 분사해 바늘 자극을 줄이고,
통증저감마취기를
통해 일정한 압력으로
마취제를 주입해 통증 없이 편안한 치료를 도와드립니다.
3D 디지털 정밀진단시스템
아이테로 루미나, 모르페우스, 본에이지 성장판 검사 등
첨단
장비를 도입해 진단부터 치료 계획까지
전 과정을 디지털화
했습니다.
3차원 분석은 물론, AI 기반 뼈 나이 판독으로
성장단계에 따른
최적의 치료 시점을 제시합니다.
-
Panoramic X-ray 촬영
낮은 방사선량으로 치아와 뿌리의 상태, 잇몸뼈의 상태,
턱관절의 형태 등을 한눈에 확인할 수 있습니다. -
Cephalometric X-ray 촬영
2~3초의 짧은 시간 안에
얼굴의 측면 엑스레이 촬영이 가능합니다. -
3D CBCT 촬영
낮은 방사선량으로 파노라마 이미지와
CT 이미지를 한번의 촬영으로 동시에 얻을 수 있습니다. -
iTero Lumina 3D 구강스캔
힘든 본뜨기 과정 없이 최신 iTero Lumina 구강스캐너로
치아와 잇몸을 고해상도로 스캔할 수 있으며,
크기가 작아 어린 환자도 편안하게 사용할 수 있습니다.
또한 교정 후 모습을 시뮬레이션해 정밀한 치료 계획이 가능합니다. -
구강 및 얼굴 사진 촬영
치아의 형태, 교합 양상 뿐만 아니라
돌출 및 비대칭 정도 등을 촬영하여 진단에 활용합니다. -
Morpheus 3D 촬영
3D 얼굴 스캔으로 얼굴형, 비대칭 정도, 얼굴의 비율 등을 측정하며,
교정 치료 후 변화된 모습을 바로 시뮬레이션할 수 있습니다. -
VUNO Med®-BoneAge™ (성장판 검사)
자녀의 성장단계와 남은 성장량을 분석해 교정 시기와
방법을 결정하며,
손사진·신체정보를 기반으로 AI가
뼈 나이를 판독해 예상 신장을 제공합니다.
뷰노메드 사용 시 판독 정확도가 약 15% 향상됩니다.
철저한 멸균소독시스템
-
01 독립된 소독실 구비, 1차 세척
-
02 소독액으로 2차 소독
-
03 소독 후 개별패킹
-
04 오토클레이브로 1차 멸균
-
05 EXPlasma 2차 멸균
-
06 살균처리 위생수 사용 및 1인 1기구 사용

성인 & 성장기 어린이 모두
인비절라인으로 아름답게
인비절라인은 치아 배열 상태를 분석 및 예측하여 제작하는
환자
맞춤형 투명 교정장치입니다.
라인드치과는 성인과 성장기, 각각의 특성을 반영한
교정 플랜을
바탕으로
성인 ‘인비절라인’ 교정과
성장기 ‘인비절라인 퍼스트’ 교정 치료가
가능한 치과입니다.
딱 맞게 제작되는
정교한 투명교정장치
인비절라인은 탈부착이 가능하고
심미성이
뛰어난 투명 교정장치로, 단계별 교체를 통해 진행됩니다.
3D 디지털 장비로 치아 배열과 구강 상태를 분석해
맞춤형 장치를 제작하며, 클린체크 시스템을
통해
치료 과정과 결과를 미리 확인할 수
있습니다.

-
투명하고 유연한 소재로
우수한 심미성 -
교정 치료 과정 및
결과 예측 가능 -
3D 디지털 장비를 통한
맞춤형 제작 -
탈착 가능한 장치로
청결함과 편안함
인비절라인 치료과정
-
STEP 01 초기 상담 및 진단
3D 스캐너(i Tero)를 이용해
치아를 스캔합니다. -
STEP 02 맞춤형 투명 교정 장치 제작
환자의 치아에 맞춘 개별적인
투명 교정 장치(얼라이너)를 제작합니다. -
STEP 03 착용 및 관리
하루 20~22시간 이상 착용을 권장합니다.
(식사 및 양치질할 때만 제거) -
STEP 04 치료 완료 후 유지 관리
치료 종료 후 유지장치를 착용하며
치아 위치를 유지합니다.

인비절라인 치료 대상
-
눈에 띄지 않는 심미적인 교정 장치를 원하는 경우
-
치아 교정 시 브라켓, 철사로 인한 불편감이 걱정되는 경우
-
타인과의 대면이 잦은 경우
-
직장인 등 잦은 내원이 부담스러운 경우

안보이게 아름답게
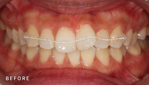
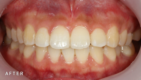
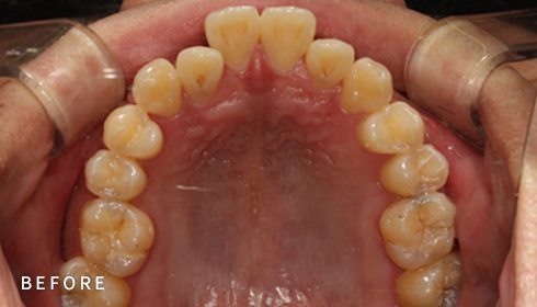
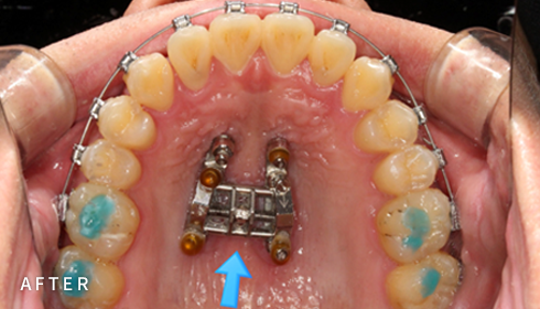
설측교정
아름다운 미소를 만드는 고난이도 프리미엄 교정 치료입니다.
난이도가 높은 만큼 풍부한 진료 경험이 중요합니다.
강남에서 다년간 설측교정에 특화된 경험을 바탕으로,
3D 디지털 기술을 활용한 맞춤 설계, IDBS방식을 통한
정밀하고 불편감 없는 치료를 제공합니다.
설측교정 치료과정
-
STEP 01 초기 상담 및 진단
3D 스캐너(i Tero)를 이용해
치아를 스캔합니다. -
STEP 02 설측 맞춤형 브라켓 지그 제작
교정전문의와 CAD/CAM전문가의 디자인으로
개별적인 설측 지그를 제작합니다. -
STEP 03 장치 부착 및 치료
IDBS(간접부착)방식을 이용하여
정밀한 위치에 장치를 부착합니다. -
STEP 04 치료 완료 후 유지 관리
치료 종료 후 유지장치를 착용하며
치아 위치를 유지합니다.
설측교정,
이런분들께 추천드립니다
-
승무원, 연예인,
쇼호스트 등
대외활동이 많은 분 -
남들 모르게
교정치료가
필요하신 분 -
성인 교정 환자,
결혼식·면접 등
특별한 일정이 있는 분 -
교정 치료와
웃을 때의 자신감,
두 가지 모두를 원하는 분
소아청소년교정
아이의 얼굴뼈 성장은 골든타임이 있습니다.
이 시기에 교정을 시작하면, 치아 배열뿐 아니라
턱 성장 방향까지 바르게 유도할 수 있어
성인 교정보다 간단하고 효과적인 결과를
기대할 수 있습니다.

턱 성장교정
시기를 놓치지 않는 조기 진단과 맞춤 치료가 중요합니다.
단순히 치열교정으로는 얻을 수 없는, 더 효과적인
결과를 기대할 수 있습니다.
치아 배열은 물론, 얼굴의 균형 있는 성장까지
고려해 아이의 바른 성장을 도와드립니다.

성장판AI분석
(뷰노메이드 본에이지)
분석하는 Vuno Med-bone age 프로그램을 활용하여 뼈 성숙도를 측정합니다.
이를
턱 성장 교정에 접목해 최적의 교정 시기를 결정합니다.
또한 이를 활용해 최종 성인 키 예측까지 이루어집니다.
성장기 치아교정,
최적의 시기는 언제일까요?
아이마다 성장 속도와 구강 발달 상태, 부정교합의 유형이
모두 다르기 때문에,
언제 교정을 시작하는 것이 최선인지
치과교정과 전문의의 정확한 진단이 필수적입니다.
따라서 아이에게 부정교합의 징후가 보이거나,
만 6~7세경 첫 영구치가 나오기 시작할 때
교정 전문의가 있는 치과를 방문하여
상담과 검진을 받아보는 것이 가장 현명합니다.
조기 진단을 통해 필요하다면 1차 교정을 진행하고,
정기적인 관찰을 통해 최적의 2차 교정 시기를 놓치지 않을 수 있습니다.
-
STEP 01 1단계 (1차 교정)
만 6~9세경, 영구치 맹출 유도 및 턱뼈 성장 부조화 개선을 위한
성장 조절 치료를 진행합니다.
(페이스마스크, 헤드기어, 확장 장치 등) -
STEP 02 2단계 (2차 교정)
만 12세~13세, 영구치가 모두 맹출한 후, 필요에 따라
치아 하나하나의 배열을 정교하게 다듬는 교정을 진행합니다.
(브라켓 교정, 투명교정 등)
성장기 교정 진료과목
라인드의 교정 프로그램


앞니 부분교정
눈에 띄는 앞니, 빠르게 가지런하게!
부분 교정은 앞니 등 필요한 부위에만 장치를 부착해
원하는 치아만
선택적으로 이동시키는 방법입니다. 범위는
제한적이지만 정밀한
계획이 필요하며, 원치 않는 치아가 함께 움직이지
않도록 주의해야 합니다.
치료 기간은 평균 6개월 내외로 짧고, 비용 부담도 적은
편입니다.


비발치 덧니 교정
덧니고민, 비발치로 교정하세요
악궁 확장, 미니 스크류, 치간 삭제 등 다양한 방법을
활용해 가능한 한
발치를 피하고, 자연스럽고 만족스러운 결과를 얻을 수
있도록
정밀하게 계획하고 진료합니다. 발치 여부가 애매한
경우,
‘레벨링 후 재평가’ 과정을 거쳐 비발치를 우선
고려합니다.

돌출입 교정
입이 나와보이는 인상, 교정으로 부드럽게
입이 들어가도 앞니 각도 조절에 실패하면 옥니나
합죽이가 되어
심미성과 기능 모두 만족하기 어렵습니다.
개인별 분석을 통해 적절한 발치를 결정하고, 앞니를
자연스럽게 뒤로 배치해
안모 균형과 자신감을 되찾는 정밀한 돌출입 교정을
진행합니다.
통합진료
충치, 임플란트, 사랑니 발치 등 일상적으로 필요한
기본 진료를 한자리에 모았습니다.
자주 겪는 증상부터 치료가 필요한 순간까지,
편리하고 빠르게 진료받을 수 있도록 준비되어
있습니다.

충치 치료
치아에서 가장 단단한 부위인 법랑질(외부 겉면)이
손상되는 것을 충치라 합니다.
충치는 진행 속도가 빠르기 때문에 정기검진과 조기
치료가 매우 중요합니다.
간단한 레진 치료부터 신경치료까지, 환자의
상태에 맞는 단계별 치료로
자연치아를 최대한 보존합니다.

네비게이션 임플란트
CT 촬영으로 뼈 상태를 정밀 분석한 뒤, 컴퓨터 3D 모의
수술을 통해
임플란트 위치와 각도를 정확히 계획하여 임플란트
식립을 진행합니다.
잇몸 절개를 최소화해 출혈과 통증, 부작용을 줄이며
회복까지 빠르게 유도합니다.
- #오차없이 정확한 식립
- #적은 잇몸 절개
- #모의 수술을 통한 수술보조장치

화이트스팟 치료
화이트스팟(반점치)은 초기 우식, 불소증 등
다양한 원인으로 나타납니다.
‘Icon 치료’는 치아 삭제나 마취 없이 저점도 레진이
법랑질의 다공성 구조를 메워
우식 진행을 차단하고, 굴절율을 회복시켜 자연치아와
같은 색을 구현합니다.
초기 우식이나 브라켓 제거 후 화이트스팟 치료에
효과적입니다.

라미네이트
앞니의 색상, 모양, 배열 등을 개선하고 싶은
분들을 위한 고급 심미 보철입니다.
얇은 세라믹을 치아 겉면에 부착하여 본래 치아의
손상은 최소화하고,
자연스러운 미소라인을 완성합니다.

사랑니 발치
사랑니는 잇몸 속에 비정상적으로 매복되거나,
주변 치아에 문제를 일으킬 수 있어 방치 시 치아
이동이나 염증의 원인이 됩니다.
3D CT로 위치와 형태를 정확히 파악한 뒤, 경험
많은 의료진이 안전하게 발치합니다.

턱관절·이갈이 치료
성인 3명 중 1명이 턱관절 질환을 겪고 있으며, 방치할
경우 통증은 물론
두통, 안면비대칭 등 다양한 증상이 나타날 수
있습니다.
물리치료, 보톡스, 스플린트등의 치료가
필요합니다.
-
THREATMENT 01 물리치료
-
THREATMENT 02 보톡스
-
THREATMENT 03 스플린트(이갈이 장치)

치아 미백
치아 변색은 음식물, 흡연, 노화 등 다양한 원인으로
발생할 수 있습니다.
선천적 또는 후천적 원인으로 인해 변색, 착색된
치아를 손상을 주지 않고
본래의 색으로 복원시키는 치료 방법입니다.
고객님들의 소중한 이야기
※ 실제 고객님들이 남겨주신 네이버 리뷰에서 발췌한 내용입니다.
라인드교정치과 둘러보기
라인드교정치과 진료안내
-
오시는 길
서울 송파구 올림픽로 293-19 현대타워 3층 308호
※ 건물 지하주차장 이용 가능 (2시간 무료)2 8 잠실역 8, 9번 출구 도보 3분
-
진료시간
- 월·수·금
- AM 10:30 - PM 07:00
- 화·목
- PM 01:30 - PM 09:00
- 토요일
- AM 09:30 - PM 02:30
- 휴게시간(월수금)
- PM 01:00 - PM 02:00
· 일요일 및 공휴일은 휴진입니다 -
상담&예약
02-6954-2879